Инкские мумии принесенных в жертву детей и женщин

Инки широко практиковали человеческие жертвоприношения. Чаще всего в жертву приносили пленников, захваченных во время войн и набегов. Однако особо доверенными посланниками к богам-предкам могли стать лишь специально отобранные, красивые дети — лишенные физических недостатков и не достигшие половой зрелости. При этом детей душили, разбивали им черепа дубинками, хоронили заживо.

Инки широко практиковали человеческие жертвоприношения...
Сенсационная находка несколько лет назад позволила ученым ответить на множество вопросов, связанных с ритуальными жертвоприношениями инков. Тогда на вершинах Анд были обнаружены три прекрасно сохранившихся мумифицированных детских тела. Этих детей принесли в жертву более 500 лет назад, но их мумии прекрасно сохранились. А совсем недавно ученые сделали заключение, что мумия женщины, долгое время хранившаяся в немецком музее, также принадлежит инкам. И у нее также были признаки насильственной смерти.

1. Три детских мумии были обнаружены на вершине вулкана Льюльяйльяко, расположенного на границе Аргентины и Чили. Вершина вулкана находится на высоте 6 739 м над уровнем моря, а температура здесь достаточно низкая, чтобы тела сохранились, превратившись в мумии. Как считают ученые, этих детей принесли в жертву вулкану около 500 лет назад. На фото: Тот самый вулкан Льюльяйльяко, на вершине которого были обнаружены мумии детей.

2. Мумия 15-летней девочки, которую принесли в жертву около 15 лет назад. Ученые почти уверены, что девочка задохнулась. Тела трех детей, принесенных в жертву пять сотен лет назад, прекрасно сохранились. Их волосы, кожа и ДНК могут ответить на множество вопросов ученых. Судебные патологоанатомы смогли определить как именно умерли эти дети.


3. Мумию 6-летней девочки также нашли на вершине аргентинского вулкана Льюльяйльяко. На ее теле нашли следы удара молнии, так что она, скорее всего, умерла от этого.


4. Все три мумии, включая эту – 7-летнего мальчика – хранятся в Музее высокогорной археологии в Салте, Аргентина.


5. Рентген мозга 6-летней девочки показал, что в нее попала молния. Здесь показаны ее орбиты с глазами, зрительными нервами (стрелки) и зрительными мышцами.


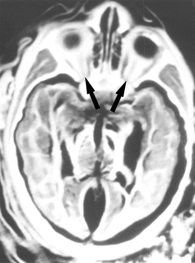
6. Рентген мозга 15-летней девочки показывает, что между белым и серым веществом мозга есть разделение. Стрелки указывают на воздух, окружающих мозг.


7. А этот рентген показал, что мозг 5-летнего мальчика сохранился в идеальном состоянии.


8. Ученые также сделали вывод, что готовящимся к принесению в жертву детям, в частности, 15-летней девочке, регулярно давали наркотики и алкоголь, чтобы они были более покорными.

Реклама


9. В своей статье от 29 июля 2013 года в журнале «Труды Национальной академии наук» ученые заключили, что дети регулярно употребляли листья коки и алкоголь. 15-летней девочке вводили больше всего наркотиков в ее последний год жизни, а пик употребления листьев коки пришелся на последние полгода ее жизни.


10. Ученые также обнаружили кусок прессованной коки между зубами девочки, что наводит на мысль, что она жевала его, чтобы успокоиться, перед самой смертью.


11. Не так давно стало известно, что таинственная мумия, более столетия находившаяся в коллекции немецкого музея, может оказаться женщиной племени инков, которая погибла от нескольких ударов по голове, вероятно, во время ритуального убийства.


12. На голове у мумии были резинки из шерсти альпаки и ламы. Это могло говорить о том, что мумия родом из Южной Америки.


13. На ее черепе также были характерные «вормиевы» кости, которые есть только у южноамериканских народов, но не у европейских.


14. С одной стороны лицо мумии выглядело вполне нормальным, но внутри ее черепные кости были разбиты.


15. Как видите, передняя часть ее черепа полностью размозжена.


16. Снимки также показали признаки уплотненной стенки сердца и раздутый кишечник. Скорее всего, это было вызвано болезнью Шагаса.


17. Рентгеновские снимки тела инкской мумии.

Источник

Читайте Также

ещё больше интересных новостей: